Pengenalan
Assalamualaikum. Pernah viral satu video di mana seorang gadis Amerika melahirkan rasa kagumnya dengan satu surah yang terkandung di dalam Al-Quran. Surah tersebut adalah An-Nahl di mana ianya menceritakan tentang perihal lebah.
Lebah adalah makhluk yang sangat penting dan menakjubkan. Itulah sebabnya di dalam Al-Quran terdapat satu bab yang didedikasikan untuk lebah yang disebut An-Nahl yang bermaksud LEBAH.
Terdapat satu hikmah yang harus direnungi di sini. Mengapa Allah mengkhususkan satu surah khas hanya untuk lebah seolah-olah makhluk ini sangat penting sebagaimana pentingnya surah Al-Baqarah iaitu bermaksud Lembu Betina.
Lebah sememangnya makhluk yang luar biasa dan memainkan peranan yang amat penting di dalam ekosistem. Dalam Al-Quran, Surah An-Nahl, yang berarti LEBAH, menggambarkan keajaiban ciptaan Allah dan pentingnya lebah dalam kehidupan. Surah ini menekankan pentingnya refleksi dengan menjadikan lebah sebagai perbandingan dengan kehidupan kita seharian di mana jika kita lihat, kehidupan lebah yang bekerja keras untuk memberi manfaat kepada manusia tidak jauh bezanya dengan kita yang membanting tulang untuk menyara keluarga.
Jika kita kaji surah ini, kita akan dapat lihat beberapa elemen yang menakjubkan tentang lebah yang wajar diberikan perhatian.
Ilham

Surah ini menggambarkan cara hidup lebah dan bagaimana umat Islam seharusnya mencontohi mereka. Al-Quran menyatakan Allah memberikan ilham kepada lebah.
Dan Tuhanmu memberi ilham kepada lebah: “Hendaklah engkau membuat sarangmu di gunung-ganang dan di pokok-pokok kayu, dan juga di bangunan-bangunan yang didirikan oleh manusia.
Surah An-Nahl (16:68)
Lebah telah diilhamkan untuk membuat rumahnya di pergunungan, dalam pokok dan dalam struktur yang didirikan oleh manusia tanpa sebarang kemahiran teknikal dan kejuruteraan. Binaan lebah telah diakui oleh para saintis sebagai binaan yang amat genius dan efisien.
Perkataan yang digunakan untuk merujuk kepada ilham yang diberikan ini adalah wahyu seperti mana terjemahan tafsir Ibnu Kathir. Ini menunjukkan bahawa lebah madu adalah makhluk yang istimewa di antara bentuk kehidupan bukan manusia yang diciptakan oleh Allah Subhana Wata’ala.
Pengajaran yang kita boleh ambil dari ayat ini adalah, apabila diperintahkan oleh Allah tentang sesuatu perkara maka hendaklah kita mematuhinya kerana sudah tentu hikmah di atas segala perintah-Nya itu kerana Allah adalah tuhan yang Maha Bijaksana.
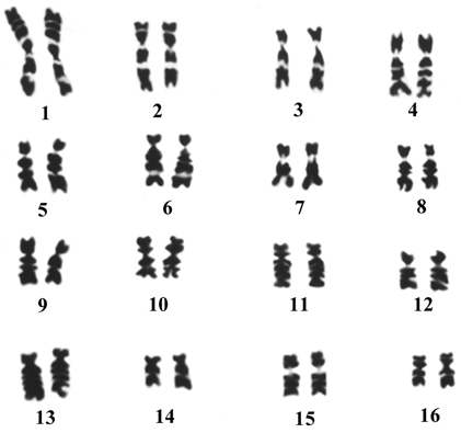
Mukjizat Nombor 16

Allah juga telah memberikan klu yang amat menakjubkan di dalam surah ini. Terdapat sesuatu yang menarik mengenai kaitan diantara nombor 16 dan lebah.
Untuk pengetahuan, surah An-Nahl adalah surah yang ke-16 di dalam Al-Quran.
Lebah betina mempunyai 16 PASANG kromosom manakala lebah jantan hanya mempunyai 16 kromosom.
Ternyata jumlah kromosom lebah mempunyai padanan dengan kedudukan nombor surah di dalam Al-Quran. Tidak mungkin ini hanyalah kebetulan melainkan ianya adalah dengan ketentuan dan aturan Allah S.W.T yang Maha Agung dan Bijaksana.
Koloni

Lebah madu hidup bermasyarakat di dalam sebuah koloni. Mereka mempunyai tiga kategori di dalam satu-satu komuniti. Kategori pertama adalah ratu lebah. Hanya terdapat seekor sahaja ratu di dalam 1 koloni dan ia adalah betina. Ada beberapa ribu lebah drone berjantina jantan, dan puluhan ribu lebah pekerja berjantina betina.
Lebah betina adalah merupakan nadi bagi sarang lebah di mana seluruh lebah pekerja adalah betina begitu juga ratunya. Sementara lebah jantan atau drone tidak mempunyai sengat dan tidak dapat membuat madu. Tujuan utama mereka ialah untuk mengawan dengan ratu lebah dan juga membantu di dalam mengawal suhu di dalam sarang mereka dengan menggerakkan sayapnya.
Sekarang mari kita reflex hakikat kehdupan lebah ini dengan kehidupan kita sehari-hari. Seperti lebah yang setiap anggotanya memberikan sumbangan bernilai kepada sarang, begitu juga setiap ahli keluarga kita memainkan peranan yang penting untuk memastikan kejayaan di dalam setiap usaha kita sehari-hari dengan berpandukan perintah Allah.
Objektif utama sebuah keluarga Muslim adalah untuk mencapai suatu janji yang telah ditetapkan oleh Allah iaitu Syurga yang Abadi. Hal ini dapat dicapai apabila setiap ahli keluarga menjalankan peranan masing-masing, seperti lebah yang bekerja bersama-sama, membuka jalan bagi pemenuhan hasrat hati mereka sama ada keinginan di dunia mahupun akhirat.
Madu

Terdapat pelbagai jenis makanan yang berasal dari madu dan ia datang dalam pelbagai warna. Madu lebah ini boleh mempunyai warna dari madu coklat muda biasa hingga warna yang lebih gelap, atau warna putih muda yang sangat terang.
Ayat seterusnya membincangkan proses membuat madu, sifatnya dan manfaat yang boleh diperolehi darinya:
Kemudian makanlah dari segala jenis bunga-bungaan dan buah-buahan (yang engkau sukai), serta turutlah jalan-jalan peraturan Tuhanmu yang diilhamkan dan dimudahkannya kepadamu”. (Dengan itu) akan keluarlah dari dalam badannya minuman (madu) yang berlainan warnanya, yang mengandungi penawar bagi manusia (dari berbagai-bagai penyakit). Sesungguhnya pada yang demikian itu, ada tanda (yang membuktikan kemurahan Allah) bagi orang-orang yang mahu berfikir.
Surah An-Nahl (16:69)
Menurut kajian klinikal yang telah dibentangkan di dalam kertas kajian bertajuk Honey and Health: A Review of Recent Clinical Research, madu mempunyai sifat antioksidan, anti-radang, antibakteria, dan penyembuhan luka.
Ingin juga dinyatakan di sini bahawa pemahaman tentang bagaimana bunga-bunga di kawasan sekitar sarang lebah mempengaruhi jenis madu yang dihasilkan hanya berjaya dicapai dengan perkembangan teknologi terkini.
Perut Berbilang Dan Jantina Lebah

Lebah mempunyai perut yang berganda di dalam satu badan. Semasa mengumpul nektar, lebah menyimpannya di bahagian yang berbeza yang dipanggil “Perut Madu” dan kembali ke sarangnya.
Di belakang perut, terdapat suatu injap yang menghalang nektar terlepas ke bahagian belakang sistem pencernaan kecuali untuk sejumlah kecil yang diperlukan untuk memastikannya terus hidup.
“Butuniha” بُطُونِهَا dalam Bahasa Arab bermaksud perut-perut bagi seekor lebah betina . Hari ini, kita tahu bahawa lebah madu mempunyai satu perut tambahan yang didedikasikan untuk madu.
Untuk perkataan “perut-perutnya”:
“Butuniha” بُطُونِهَا adalah kata jamak bagi perut berbilang untuk seekor lebah betina , bukannya kata jamak bagi satu perut untuk beberapa ekor lebah betina.
“Butunihin” بؤطؤنهين adalah untuk beberapa lebah betina.
Didalam buku Shakespeare bertajuk Henry The Fourth, terdapat watak yang bercakap berkenaan lebah di mana menurutnya lebah adalah tentera dan mereka mempunyai raja. Ini sememangnya tidak tepat dan dengan bukti yang telah disebutkan sebelumnya, lebah pekerja adalah betina dan mereka hanya ada ratu lebah sahaja.
Mari kita renung kembali kebesaran dan mukjizat yang diturunkan kepada Rasul junjungan kita Nabi Muhammad S.A.W.
Bagaimana mungkin seorang lelaki yang tidak boleh membaca dan hidup 1400 tahun dahulu tahu bahawa lebah yang membuat madu itu adalah betina sedangkan masyarakat umum menyangka bahawa lebah pekerja adalah jantan?
Bagaimana mungkin seorang lelaki yang tidak boleh membaca dan hidup 1400 tahun dahulu tahu bahawa lebah madu mempunyai perut tambahan?
Teologi Pembelaan Isu Mukjizat
| Linguistik | Astronomi | Biologi | Entomologi | Oceanografi | Geologi | Fizik |
Rujukan:
- Surah An-Nahl – 1-128 – Quran.com. (n.d.). Quran.com. https://quran.com/16?startingVerse=68
- BBC. (2016, June 28). Why do bees build hexagonal honeycombs? – Forces of Nature with Brian Cox: Episode 1 – BBC One [Video]. YouTube. https://www.youtube.com/watch?v=kxDEcODUEP0
- Gempe, T., Hasselmann, M., Schiøtt, M., Hause, G., Otte, M., & Beye, M. (2009). Sex determination in honeybees: two separate mechanisms induce and maintain the female pathway. PLoS Biology, 7(10), e1000222. https://doi.org/10.1371/journal.pbio.1000222







Leave a comment